Протезирование выполняется с целью восстановления эмали, замещения недостающих зубов, улучшения внешнего вида лица и компенсации жевательной функции. Стоимость протезирования зубов включает в себя диагностику, лечение и установку протезов новейшего образца.
Ортопедическое лечение зубов
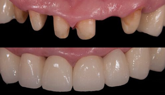
Отсутствие одного или нескольких зубов – проблема не только эстетического, но и медицинского характера. Неполный зубной ряд становится причиной нарушения прикуса, развития желудочно-кишечных заболеваний, появления психологического и физического дискомфорта.
Ортопедическая стоматология — это направление, которое занимается восстановлением утраченных зубов и коррекцией их формы с помощью протезов и других конструкций. Правильное ортопедическое лечение помогает вернуть не только красивую улыбку, но и полноценную жевательную функцию, сохраняя здоровье всей зубочелюстной системы.
Процедура требует тщательной подготовки. Предварительно необходимо избавиться от кариеса, твердого налета и вылечить болезни десен. Дополнительное ортодонтическое лечение понадобится пациентам с дефектами прикуса, если во рту недостаточно места для установки протезов.
Виды протезов в ортопедической стоматологии
В современной ортопедической стоматологии существует несколько способов восстановления зубного ряда. Протезы подразделяются на съемные и постоянные конструкции, каждая из которых применяется по определённым показаниям и обладает собственными преимуществами.

Несъемные протезы
Несъемное протезирование зубов является более дорогостоящей процедурой, по сравнению с установкой съемных конструкций. Постоянные дентальные детали отличаются высокой прочностью и хорошо совмещаются с тканями организма. Такой метод восстановления может использоваться, когда отсутствуют несколько зубов или есть здоровые корни. Цены на современное протезирование зубов несъемными элементами компенсируются дополнительными преимуществами:
- Длительное использование – более 20 лет.
- Восстановление эмали.
- Создание зубов с максимально натуральным видом. Такая улыбка на фото или при личном взаимодействии с человеком не отличается от естественной.
Метод с обточкой
Данная технология предполагает предварительную обточку соседних зубов, после чего конструкции фиксируются к здоровым участкам челюсти. Обтачивание зубной поверхности требуют следующие несъемные конструкции:
- Коронки;
- Вкладки;
- Мостовидные модели.
Метод без обточки
Многие пациенты не желают портить здоровые зубы и с настороженностью относятся к протезам с обточкой. Таким клиентам наши врачи предлагают восстановление зубного ряда с помощью одной из несъемных конструкций:
- Кламмеры нужны для фиксации протеза и передачи жевательного давления на здоровые зоны челюсти.
- Имплантаты устанавливаются на титановый штифт, который вживляется в челюстную кость.
- Культевые вкладки из керамики или титана, используются в качестве основы моста или коронки.

Съемные протезы
Съемные технологии применяются при тотальном отсутствии жевательных участков. Методика также подходит пациентам, у которых отсутствует несколько зубов. Ортопедические конструкции фиксируются специальными крючками или замками с использованием выступов челюсти или эффекта присасывания к мягким тканям. Цена съемных зубных протезов зависит от функциональных задач:
- Полные протезы компенсируют массовую нехватку зубов по одну или с обеих сторон челюсти;
- Частичные протезы необходимы в том случае, если отсутствует любое количество зубов, принимающих жевательную нагрузку;
- Бюгельные модели с металлическим каркасом изготавливаются в лаборатории с учетом персональных особенностей ротовой полости пациента. Корпус состоит из удерживающей и разгружающей части, дуги и декоративных накладок. За счет сложной модификации жевательная нагрузка равномерно распределяется между десной и челюстью.
Виниры и люминиры
Виниры – тонкие пластинки, которые фиксируются на передней поверхности челюсти для маскировки эстетических дефектов. Толщина одной накладки составляет примерно 0,5-0,8 мм. Цена виниров зависит от материала: корпус производится из фарфора, керамики или композита.

Главное преимущество виниров – возможность создать зубной ряд, который по цвету и форме не отличается от естественного. Процедура абсолютно не травматичная, единственный дискомфорт пациент заметит только при стачивании эмали перед установкой.
Керамические и композитные накладки прослужат более десяти лет, они не меняют цвет при взаимодействии с кислой средой и не подвергаются кариесу. В процессе установки готовые виниры крепятся к эмали, с которой снимается тонкий слой. Сцепление происходит за счет цементного состава.
Как и виниры, люминиры – керамические накладки для маскировки дефектов и повреждений, но толщина их значительно меньше – не более 0,3 мм. Это современный и более усовершенствованный вид виниров. Люминиры менее массивные, более долговечные и не требуют стачивания эмали.
Технологии зубопротезирования
Последними технологическими достижениями в сфере зубопротезирования стали CAD/CAM системы, которые позволяют создавать хорошие виниры с применением компьютерного 3D моделирования и провести процедуру за одно посещение врача. Специальный сканер производит электронную модель без необходимости изготовления оттисков.

Новые технологии в зубопротезировании существенно сокращают длительность ортопедического лечения. Весь цикл производства вкладок, коронок или мостов потребует около часа. В нашей клинике для изготовления фарфоровых вкладок, коронок, виниров или мостов используется оборудование CEREC.
Этапы протезирования зубов
Каждое ортопедическое лечение зубов в стоматологии Eurodent проходит поэтапно, чтобы пациент был уверен в результате и чувствовал себя комфортно на всех стадиях протезирования.
- Консультация и диагностика. На первом приёме врач проводит детальный осмотр, собирает анамнез, назначает рентген или компьютерную томографию. Это помогает оценить состояние зубов, десен и костной ткани. На основе данных подбирается оптимальный вид протеза — съемная или несъемная конструкция.
- Подготовка полости рта. Перед установкой протезов необходимо вылечить кариес, провести профессиональную чистку, устранить воспаление дёсен. При необходимости выполняется удаление разрушенных зубов или исправление прикуса. Такая подготовка к ортопедическому лечению позволяет избежать осложнений и продлевает срок службы конструкции.
- Снятие слепков и цифровое моделирование. После подготовки врач-ортопед снимает слепки или использует 3D-сканирование. В нашей клинике CAD/CAM-технологии позволяют создать виртуальную модель будущей улыбки. Пациент может заранее увидеть, как будет выглядеть зубной ряд после протезирования.
- Изготовление конструкции. Слепки и цифровые модели передаются в собственную зуботехническую лабораторию Eurodent. Здесь специалисты изготавливают коронки, виниры, мосты или съемные протезы. Используются прочные и эстетичные материалы — керамика, цирконий, композиты.
- Примерка и фиксация. Готовая конструкция сначала примеряется, чтобы проверить посадку и удобство. При необходимости ваш лечащий врач-ортопед корректирует форму или оттенок. После этого протезы устанавливаются с помощью цемента, замков или имплантатов.
- Адаптация и рекомендации по уходу. Врач объясняет, как ухаживать за протезами, какие продукты лучше избегать и какие средства гигиены использовать. На этапе адаптации пациенты приходят на контрольные визиты, чтобы убедиться в правильности прикуса и надежности фиксации.

Благодаря такому пошаговому подходу пациенты Eurodent получают максимально точный и предсказуемый результат. Мы учитываем не только медицинские показания, но и ваши эстетические ожидания, поэтому улыбка выглядит естественно и служит долгие годы.
Врач осмотрит вас и поставит диагноз. Вы получите план лечения со сроками и стоимостью.
Почему протезирование стоит доверить Евродент
Высококвалифицированные врачи нашей клиники предоставляют полный спектр стоматологических услуг, включая консультирование, диагностику, лечение и лучшее протезирование зубов. Ортопедическое отделение в стоматологии сети работает без выходных, поэтому мы готовы бороться за красоту и здоровье улыбки в любое удобное для вас время.
В нашей ортопедической стоматологии действуют самые выгодные тарифы, а каждая услуга сопровождается обязательной гарантией. Постоянные клиенты имеют возможность воспользоваться выгодными скидками или выполнить зубопротезирование в рассрочку. Только наши пациенты получают массу выгод:
- Бесплатное консультирование;
- Современное оборудование, новые технологии и лучшие расходные материалы;
- Диагностика и протезирование без возрастных ограничений;
- Огромный штат квалифицированных специалистов высшей категории с многолетним стажем работы в авторитетных клиниках Европы;
- Соблюдение протоколов программы «Антигепатит» и «АнтиСПИД».
Решились вернуть свою сияющую белоснежную улыбку? Наши специалисты проведут детальную диагностику, подберут зубные протезы по вашим требованиям и бюджету. Виниры или мосты будут готовы сразу в день визита, поэтому из кабинета врача вы выйдете уже с белыми ровными зубами. Позвоните нашему менеджеру или заполняйте форму обратной связи, чтобы узнать, сколько стоит протезирование, и сразу записаться к врачу.