Главной задачей ортопедической стоматологии является полное восстановление жевательной функции у пациента. Но в клинике «Евродент» вам не только проведут качественное лечение и протезирование зубов, но и позаботятся о том, чтобы внешний вид восстановленных зубов был максимально привлекательным.
Инлеи изготавливаются из керамического материала, который имитирует природный цвет и текстуру зубов, что делает данный вид микропротезирования зубов эстетичным. Как правило, такие зубные вкладки намного надёжнее обычных пломб.
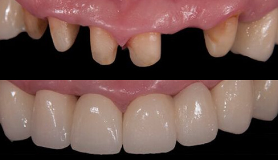
Этапы микропротезирования зубов керамическими вкладками
В современной стоматологии микропротезирование зубов керамическими вкладками - это эффективный метод восстановления зубов, позволяющий восстановить поврежденный зуб с минимальными потерями костной ткани и сохранением его эстетики. Микропротезирование зубов с помощью вкладок из керамики состоит из следующих этапов:
- Предварительный осмотр о врача-ортодонта, составление плана лечения;
- Удаление поврежденных участков зубной ткани, создание посадочного места для зубной вкладки;
- Создание зубного оттиска, на основе которого создаётся индивидуальная керамическая вкладка на зуб;
- Изготовление вкладки в стоматологической лаборатории;
- Установка и закрепление зубной вкладки с использованием специального фиксирующего клея или цемента;
- Подгонка и полировка зубной вкладки под индивидуальные особенности ротовой полости пациента.
Керамические вкладки vs обычные пломбы – побеждают инновации!
Для многих наших пациентов понятие «керамические вкладки» ассоциируется разновидностью обычной пломбы. Для того, что бы устранить это заблуждение, мы ответим на самые распространенные вопросы, которые задают нам наши пациенты:
Что такое керамическая вкладка для зубов?
Керамические зубные вкладки представляют собой высокотехнологичные микропротезы. По своим параметрам она в разы превосходит самую современную пломбу, потому что обладает характеристиками, максимально приближенными к здоровой зубной ткани. Также внешний вид керамических вкладок полностью имитирует натуральную зубную эмаль.
Установка керамических вкладок
Установка зубных вкладок из керамики - это процедура, которая применяется для восстановления поврежденных зубов с использованием специальных инлеев или онлеев. Установка керамической вкладки возможна как при незначительном, так и при обширном разрушении зуба. Если полость в зубной ткани достаточно большая, то вкладка будет лучшим решением для восстановления поверхности зуба. Единственным условием к установке керамической вкладки является наличие здорового зубного корня. В случае повреждения корней наши специалисты рекомендуют рассмотреть имплантацию как надежный способ восстановить зубной ряд и избежать обточки соседних зубов.
Насколько керамические зубные вкладки прочнее пломбы?
Любой современный пломбировочный материал проигрывает по прочности вкладкам из оксида циркония. Превосходные прочностные характеристики низкотемпературной керамики, из которой и изготавливают вкладки, зарекомендовали себя с наилучшей стороны. Реставрация зубов керамическими вкладками позволит зубам служить вам долгие годы. Преимуществом вкладки из керамики является то, что она будет изнашиваться синхронно с настоящей зубной тканью, тем самым предотвращая дискомфорт и искажение естественной линии зубного ряда. Современные композитные пломбы лишены такого свойства и зачастую это приводит к некоторым неудобствам во время жевания.
Правда ли, что установка керамических вкладок препятствует появлению вторичного кариеса?
Правда. В 99% случаев причиной появления вторичного кариеса под обычной пломбой является наличие микроскопических зазоров между поверхностью зуба и пломбой. Доступ воздуха и мельчайших частичек жидкости и пищи создают благотворную среду для возникновения кариеса. В случае реставрации зубов керамическими вкладками такой дефект исключен, так как изготовление вкладки проходит на высокоточном оборудовании с помощью трехмерного моделирования.
Какова стоимость керамических вкладок? Насколько они дороже обычных пломб?
В клинике Евродент цена на восстановление зуба керамической вкладкой начинается с 55000 тенге. По стоимости вкладки действительно дороже обычных пломб. Но, если внимательно проанализировать все преимущества, которые дают зубные вкладки, то их стоимость становится вполне оправданной, тем более, что срок службы керамической вкладки составляет около 10 лет.
Ниже мы более подробно расскажем о свойствах и преимуществах зубных вкладок.
Керамические вкладки из оксида циркония - лучший выбор для ваших зубов
Керамические вкладки, которые применяют в клинике «Евродент» отвечают самым высоким мировым стандартам и изготавливаются из оксида циркония. Керамическая вкладка из оксида циркония в разы превосходит обычную пломбу по своим характеристикам. В отличие от пломб эти вкладки не темнеют со временем и служат в 3-4 раза дольше пломб.
Оксид циркония на сегодняшний день является самым лучшим материалом для протезирования, который обладает отличными характеристиками
Преимущества зубных вкладок из оксида циркония:
- Высокая прочность - по прочности превосходят дорогие композитные пломбы и металлические вкладки.
- Высокое качество - циркониевые вкладки изготавливают с применением CAD/CAM систем, обеспечивающим высокую точность посадки.
- Имеют практически неограниченный срок службы.
- Высокие эстетические характеристики – по внешнему виду вкладки из оксида циркония полностью имитируют цвет, прозрачность и фактуру зубной ткани.
- Материал вкладки не темнеет и не желтеет со временем, не меняет цвет под воздействием пищевых красителей или никотина.
- Плотное прилегание вкладки и отсутствие последующей усадки исключают появление пространства между вкладкой и поверхностью зуба, а значит – исключает повторное появление кариеса.

Вкладки из оксида циркония могут быть изготовлены 2 способами:
- Прямой способ. Предполагает снятие слепка с одного конкретного зуба и изготовление вкладки по этому слепку.
- Непрямой способ. В этом случае слепок снимается с верхней и нижней челюсти, т.е. изготовление вкладки происходит с учетом индивидуальных особенностей прикуса пациента. Этот метод наиболее точный и комфортный для пациента.
В процессе создания вкладок используется трехмерное компьютерное моделирование, которое обеспечивает высокую точность изготовления вкладки. В нашей зуботехнической лаборатории изготовление зубных вкладок из оксида циркония полностью автоматизировано, что исключает возможность ошибки из-за «человеческого фактора». Специфика изготовления циркониевых вкладок предотвращают усадку вкладки до того, как она будет установлена в зуб пациента, поэтому в процессе эксплуатации исключается возможность усадки.
Этапы установки керамических зубных вкладок
- На начальном этапе происходит устранение поврежденных тканей зуба и подготавливается площадка для установки зубной вкладки.
- В лаборатории изготавливают вкладку по индивидуальным параметрам, полученным в результате 3D-моделирования.
- Готовая вкладка устанавливается на зуб при помощи специального цемента.
На время изготовления зубной вкладки в подготовленный зуб устанавливается специальная временная пломба, которая препятствует попаданию в зуб остатков пищи и напитков, бактерий и пр. Сам процесс установки происходит обычно в течение 2 визитов в клинику.

Срок службы зубной вкладки практически не ограничен. Причиной замены вкладки может служить только скол стенки зуба и «разгерметизация» зуба. Несмотря на то, что по сравнению с обычным пломбированием установка зубной вкладки более дорогое «удовольствие», большинство клиентов выбирают качество и надежность циркониевых вкладок. Но выбрать керамическую вкладку или поставить обычную пломбу порекомендует стоматолог, после осмотра полости рта.
В клинике «Евродент» работают опытные специалисты, прошедшие обучение в лучших европейских клиниках. Нашим пациентам мы предлагаем только передовые технологии, только современные и безопасные материалы, европейские сервис и искреннюю заботу.
Врач осмотрит вас и поставит диагноз. Вы получите план лечения со сроками и стоимостью.