Имплантат, имплантант или имплант — это ненатуральный корень зуба, сделанный из титана, который ввинчивается вместо недостающего зуба.
Случаются ситуации, когда вылечить поврежденный зуб не представляется возможным и его приходится удалять — это может касаться как одного зуба, так и нескольких.
В результате такой потери пациент начинает испытывать дискомфорт — становится сложнее пережевывать пищу, могут возникнуть дефекты дикции, а если зубы отсутствуют длительное время — это может вызвать искажение овала лица и появление морщин.
Чтобы не допустить подобной ситуации и избавить пациента от дискомфорта, в стоматологии до недавнего времени применялись различные виды протезирования.
О том что лучше — протезирование или импланты зубов, стоимость которых очевидно выше, ведутся многочисленные дискуссии. Сегодня стоматология «Евродент» предлагает самые современные методы восстановления зубного ряда, о чем свидетельствуют многочисленные хорошие отзывы клиентов.
Что такое имплантация зубов?
Имплантация — это процедура по установке имплантата зуба с последующей фиксацией коронки. Данная технология применяется как при замещении одного зуба, так и при отсутствии нескольких, в т.ч. и при полной адентии (отсутствии зубов в ряду). Имплантация зубов под ключ включает в себя подготовку ротовой полости, установку штифта и коронковой части.

Зубные имплантаты полностью повторяют физиологическое строение и внешний вид зубов пациента, не отличаясь от них ни блеском, ни прозрачностью, и превосходя их по прочности.
Титановый штифт, который устанавливается непосредственно в костную ткань, на место отсутствующего зуба, обладает практически 100% совместимостью с тканями человеческого организма.
Коронковая часть изготавливается из экологически безопасного диоксида циркония, который на сегодняшний день является лучшим материалом для протезирования.
Также следует отметить, что в процессе установки имплантов соседние зубы не подвергаются обточке, а функциональная нагрузка распределяется равномерно на весь зубной ряд.
Благодаря этим преимуществам, имплантация зубов сегодня признана одним из самых надёжных решений в современной стоматологии, при этом её стоимость остается вполне оправданной качеством и результатом.
Показания к имплантации зубов
Дентальную имплантацию рекомендуют в следующих случаях:
- при отсутствии всех зубов (зубной протез прочно фиксируется);
- если имеется дефект зубного ряда (как опора для мостового протеза);
- при отсутствии одного из зубов (эстетическая и качественная замена);
- при отсутствии жевательных зубов (с целью сохранить целостность зубного ряда в связи с нагрузками на сегмент).
Противопоказания к процедуре
Что может помешать установить зубные импланты — цена, страх перед операцией? Есть вещи значительно серьезнее.
Как и у любого хирургического вмешательства у данной процедуры есть множество мелочей, которые в совокупности могут указать лечащему врачу на «невозможность проведения операции».
Просим Вас обязательно консультироваться и проводить необходимые анализы перед имплантацией. Среди общих возможных противопоказаний:
- Нарушения свертываемости крови, общие заболевания крови и кроветворных органов.
- Злокачественные новообразования различных органов.
- Иммунопатологические состояния.
- Различные заболевания соединительной ткани.
- Сахарный диабет.
- Бруксизм и гипертонус жевательных мышц.
Виды имплантации
В стоматологической клинике Eurodent проводятся следующие виды имплантации зубов:
Одномоментная имплантация
Ее еще называют одноэтапная, экспресс-имплантация, моментальная. Это малотравматичная процедура, которая позволяет удалить и восстановить зубную единицу за один визит к врачу. При одномоментной имплантации можно обойтись без рассечения кости и мягких тканей — имплантат устанавливается в лунку, образовавшуюся после удаления зуба.
Одноэтапная имплантация может проводиться с моментальной нагрузкой, когда на имплант сразу надевают временную коронку, изготовленную из облегченного материала, которую со временем заменяют постоянной. Также процедура может проводиться с отложенной нагрузкой, когда коронка устанавливается через несколько месяцев после процедуры, когда имплант хорошо приживется.

Двухэтапная имплантация
Считается классическим видом имплантации. Процедура подразумевает установку искусственного корня через несколько месяцев после удаления зуба. Коронка в таком случае устанавливается через 2-3 месяца после установки имплантата, после полного заживления костной ткани и десен.
Какой вид импланта подойдет конкретному пациенту — зависит от клинического случая. В ходе консультации специалисты Eurodent подберут вам наиболее подходящий вариант.
Какие виды имплантов мы используем?
В стоматологии «Евродент» мы используем только проверенные и высококачественные виды имплантов зубов от ведущих мировых производителей, чтобы гарантировать нашим пациентам максимальный комфорт и долговечность результатов. Работаем с имплантами, признанными лучшими в сфере дентальной имплантологии, что позволяет предлагать каждому пациенту индивидуальные решения, соответствующие его клиническим и эстетическим потребностям.
Швейцарские импланты Straumann

Straumann — это премиальные импланты швейцарского производства, считающиеся одними из самых передовых и надежных в мире. Несмотря на стоимость этих имплантов, они являются оптимальным вариантом для самых сложных клинических случаев, благодаря следующим особенностям:
- Уникальная поверхность SLActive® ускоряет срастание с костью, сокращая время восстановления в 2 раза.
- Изготовленные из высококачественного титана или уникального сплава Roxolid®, лучшие импланты для зубов Straumann служат десятилетиями благодаря устойчивости к нагрузкам и отличной остеоинтеграции.
- Минимальный риск отторжения и воспалений благодаря высокой биосовместимости материалов.
- Идеально подходят для зоны улыбки — импланты Straumann выглядят максимально естественно.
- Подходят для сложных случаев и часто применяются без костной пластики у пациентов с недостатком костной ткани.
Шведские импланты Nobel Biocare

Импланты Nobel Biocare — это шведские системы премиум-класса, которые широко используются в мировой практике в дентальной имплантологии. Они подходят как для простой единичной имплантации, так и для полной реставрации зубного ряда. Чем выделяются импланты Nobel Biocare среди других решений:
- Надёжная фиксация: Особая форма штифта обеспечивает прочное крепление и устойчивость импланта даже при высокой нагрузке.
- Малотравматичная установка: Инновационная геометрия позволяет устанавливать имплант с минимальным вмешательством в костную ткань.
- Максимальная стабильность: Верхняя треугольная часть гарантирует плотную посадку абатмента и отсутствие микроподвижности.
- Эстетичный результат: Идеально восстанавливают линию улыбки благодаря точному прилеганию и натуральной форме.
- Проверенное качество: Более 60 лет опыта и научные разработки делают Nobel Biocare выбором врачей по всему миру.
Импланты Osstem

Osstem — это качественные и доступные по стоимости импланты южнокорейского производства, широко применяемые в стоматологической практике по всему миру. Особенности и преимущества имплантов Osstem:
- Надёжная фиксация: Уникальная резьба титанового стержня обеспечивает прочную фиксацию даже в сложных анатомических условиях.
- Ускоренное заживление: Специальное биосовместимое покрытие стимулирует срастание с костью и и ускорят восстановление— импланты приживаются уже через 2–3 месяца в 98–99 % случаев.
- Долговечный результат: Высокая стабильность остеоинтеграции обеспечивает долгий срок службы импланта.
- Минимальный риск отторжения: Биосовместимый титан Grade 4 и специальное напыление снижают риск воспаления.
- Цифровая совместимость: Поддерживают 3D‑диагностику, CAD/CAM и навигационные шаблоны — это повышает точность планирования и установки.
- Подходят при сложных случаях: Универсальность системы позволяет использовать её при разных показаниях, даже при недостатке костной ткани.
- Доступная цена: Система имплантов Osstem характеризуется премиальным качеством по доступной стоимости — часто дешевле европейских аналогов.
Международное признание: Импланты одобрены сертификатами FDA, CE и ISO, подтверждающими высокий уровень безопасности и эффективности.
Мы предлагаем только лучшие имплантационные системы от ведущих мировых производителей, что позволяет нам обеспечить индивидуальный подход к каждому пациенту и получить прогнозируемый и долговечный результат. О том, насколько надёжны и эстетичны установленные у нас имплантанты зуба — отзывы пациентов говорят сами за себя. Независимо от того, какой имплант вы выберете, мы гарантируем высокое качество лечения и ваш комфорт на каждом этапе.
Этапы имплантации зубов
Имплантация зубов под ключ в стоматологии «Евродент» — абсолютно безопасная, по выгодной цене и практически безболезненная процедура.
Современное высокотехнологичное оборудование позволяет провести самую точную диагностику и выбрать оптимальный вариант установки имплантатов в кратчайшие сроки в Алматы по лучшей цене.

В случае, если есть потребность в данной процедуре, врачи-имплантологи разрабатывают индивидуальный план лечения, который состоит из нескольких этапов:
1. Диагностика
Тщательный осмотр и 3D моделирование строения нужного участка ротовой полости. Данная процедура проходит при помощи лучшего в Казахстане томографа немецкой фирмы Sirona.
Компьютерная диагностика на начальном этапе лечения позволяет врачу детально представить состояние и количество костной ткани, особенности строения ротовой полости пациента, а также вовремя выявить скрытые заболевания — кисты, гранулемы и пр.
Трехмерное моделирование позволяет правильно рассчитать расположение будущих имплантатов и буквально до микрона определить угол вхождения штифтов в челюсть.
2. Санация ротовой полости
Для подготовки ротовой полости к хирургическому вмешательству связанному с имплантацией, необходимо очистить зубы от налета и зубного камня, в случае наличия воспаления десен или поврежденных зубов — провести соответствующее лечение зубов и лечение десен.
3. Проведение анализов
Для успешной операции по установке зубных протезов врачу необходимо иметь точное представление об общем состоянии организма пациента.
Операция может проводиться только при отсутствии категорических противопоказаний — в противном случае высокий риск того, что имплант не приживется.
4. Имплантация
Это основной этап. Основной этап также делится на 2 этапа — хирургический и ортопедический. На первом этапе имплантации зубов происходит установка выбранных имплантатов в костную ткань и контроль над процессом выздоровления. На втором (ортопедическом) этапе, изготавливается коронка и устанавливается на хорошо прижившийся стержень. Рассмотрим процесс имплантации зубов детальнее:
Хирургический этап: установка импланта
На этом этапе имплантации зубов титановый имплант вживляется в костную ткань под местной анестезией. Процедура занимает в среднем 30–60 минут и проходит безболезненно. После установки начинается процесс остеоинтеграции — срастания импланта с костью, который длится в среднем от 2 до 3 месяцев.
Чтобы пациент не испытывал эстетический дискомфорт в период приживления импланта, может быть установлена временная коронка. В Eurodent такие коронки изготавливаются индивидуально с использованием 3D-принтера — они выглядят максимально натурально и позволяют комфортно вести привычную жизнь.
Ортопедический этап: протезирование
После приживления импланта наступает второй этап — установка постоянной коронки. Сначала врач делает оттиски или 3D-скан, на основе которых в зуботехнической лаборатории изготавливается индивидуальный протез.
Конструкция на циркониевых коронках является самым современным и эстетичным решением. Диоксид циркония прочен, не вызывает аллергию и внешне неотличим от настоящих зубов. Такая коронка точно повторяет форму и цвет зуба, выдерживает жевательную нагрузку и служит десятилетиями.
Если вы испытываете смущение и раздражение от того, что у вас отсутствует зуб или несколько зубов, если вы устали носить громоздкие зубные протезы или страдаете от старых методов протезирования, то спасением для Вас будет современный метод восстановления с использованием имплантантов. Отзывы тех кто прошел через данную операцию подтверждают: имплантация зубов это надёжное и эффективное решение на долгие десятилетия.
Высокий профессионализм наших врачей, ответственность, искренняя забота о здоровье пациентов и вполне доступные цены делают нашу клинику одной из лучших в Алматы.
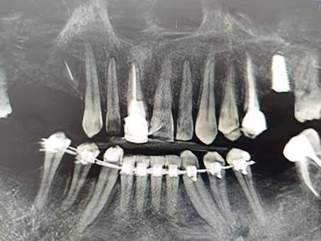
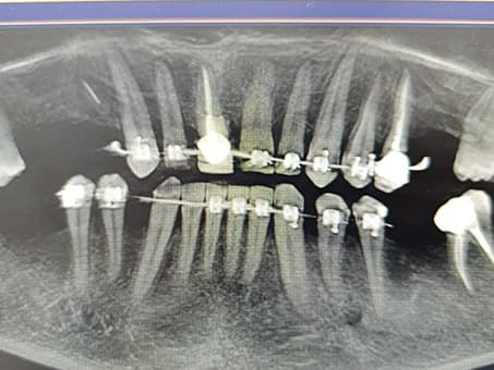
Наши работы
Врач осмотрит вас и поставит диагноз. Вы получите план лечения со сроками и стоимостью.