Мало кто из нас не восхищается сияющими улыбками голливудских звезд, но, к сожалению, не всем повезло обладать белоснежными и идеально ровными зубами от природы. Но расстраиваться не стоит - на сегодняшний день практически не осталось таких эстетических проблем, которые нельзя было бы решить с помощью стоматологии или косметологии. Поэтому, если вы хотите, чтобы зубы были идеально ровными, или вам нужно избавиться от слишком широких промежутков между ними – элайнеры StarSmile станут оптимальным решением ваших проблем.

Элайнеры для зубов: что это и зачем нужны

Элайнеры для зубов StarSmile относятся к съемным ортодонтическим конструкциям и представляют собой прозрачную жесткую каппу, которая устанавливается на проблемный зубной ряд. Они изготавливаются из гипоаллергенных полимеров и предназначены для выравнивания прикуса, всех или одного (нескольких) зубов.

Элайнеры можно использовать как для нижней, так и для верхней челюсти. Они являются съемными конструкциями, снимать и надевать их можно без помощи стоматолога. Эффект от применения элайнеров схож с действием брекетов, но в отличие от последних элайнеры выглядят практически незаметно. Они плотно сжимают зубы со всех сторон, фиксируя их в правильном положении. Этот процесс так же эффективен, как и использование брекетов. Но, судя по отзывам наших клиентов, использование элайнеров StarSmile менее болезненно, чем применение брекет-систем.

Показания к применению элайнеров StarSmile:

  • Трема и диастема (увеличенные промежутки между зубами).
  • Неправильное положение зубов, скрученность или поворот зуба. Может касаться как всего ряда в целом (перекрестный, мезиальный, дистальный прикус), так и нескольких или одного зуба, когда он выпирает вперед или назад.
  • Закрепление результатов лечения после снятия брекетов. Как известно, после того, как пройден курс лечения с помощью брекет-системы, через некоторое время зубы могут снова вернуться в неправильное положение. Использование элайнеров Star Smile избавит от таких проблем, тем более что цена этой стоматологической конструкции в этом случае не покажется высокой, так она сможет служить несколько лет.
на изображении, девушка в руках держит свои элайнеры

Важно: с помощью технологии Star Smile перечисленные проблемы не всегда удается решить. Эти ортодонтические конструкции предназначены скорее для устранения незначительных или эстетических недостатков зубов, чем их кардинального лечения. Поэтому перед тем, как заказать элайнеры, стоит обязательно записаться на прием к стоматологу. Врач осмотрит ротовую полость на наличие заболеваний и, в случае необходимости, назначит лечение. Поставить элайнеры быстро можно только в случае полностью здоровых зубов.

Процесс выравнивания зубов с помощью элайнеров Star Smile

После того, как стоматолог порекомендовал использование жесткой каппы, процесс лечения будет состоять из нескольких этапов. Для начала пациент проходит полное обследование полости рта. В нашей клинике для этих целей используется новейшее европейское оборудование и применяется компьютерное 3D моделирование, которое позволяет получить максимально точную модель зубного ряда. Далее полученные снимки челюсти анализирует специальная программа, и ужепо результатам составляется полный курс лечения.

Для выравнивания зубов требуется несколько капп (в очень сложных случаях их может быть больше 10). Это связано с тем, что каждая конструкция выравнивает зубы до определенного положения. Как только зубы становятсяв нужное положение, давление, оказываемое элайнером, больше неэффективно. Поэтому надевается следующая каппа, соответственно, также «работающая» до конкретного момента. Для достижения нужного эффекта очень важно соблюдать последовательность ношения элайнеров. Если попробовать надеть, например, четвертую по очереди конструкцию первой, то носить ее будет практически невозможно из-за сильного дискомфорта.

На изображении, врач держит в руках готовые элайнеры

Весь процесс лечения обязательно должен проходить под контролем врача.

«Евродент» - доверяйте профессионалам

В стоматологической клинике «Евродент» вас ожидают самое современное оборудование, внимательный, квалифицированный персонал и высочайший уровень сервиса.

Мы устанавливаем элайнеры StarSmile, созданные из высококачественных биосовместимых материалов,по лучшим ценам в Алматы. На первичной бесплатной консультации вы можете пройти осмотр и получить детальные рекомендации по дальнейшему лечению зубов или коррекции прикуса.

Часто задаваемые вопросы

Сколько по времени занимает выравнивание зубов с помощью элайнеров Star Smile?

Выравнивание зубов элайнерами СтарСмайл обычно длится от 3 месяцев до двух лет. Продолжительность лечения зависит от сложности клинической картины и добросовестности пациента — если не придерживаться рекомендаций доктора и носить систему не постоянно, срок лечения может увеличиться.

Сколько стоит поставить элайнеры StarSmile?

Стоимость установки элайнеров StarSmile зависит от степени выраженности дефекта прикуса и количества кап, необходимых для его исправления. Также могут возникнуть дополнительные расходы, связанные с подготовкой зубов к процедуре — удаление кариеса, зубного камня и т. д. Важно учитывать, что СтарСмайл — это российские системы, поэтому их стоимость будет ниже, чем у американских аналогов.

Точную стоимость лечения сможет озвучить ортодонт после оценки состояния ротовой полости.

В чем преимущество элайнеров StarSmile?

Элайнеры StarSmile — удобная и практически незаметная ортодонтическая конструкция, которая позволяет исправить прикус мягко, безболезненно и незаметно для окружающих. Элайнеры изготавливают из безопасных материалов, не вызывающих аллергических реакций или раздражения. Многие пациенты выбирают элайнеры СтарСмайл за то,что они легко снимаются и устанавливаются и не влияют на дикцию.

Как работают элайнеры StarSmile?

Элайнеры StarSmile представляют собой набор капп из гипоаллергенного прозрачного материала, изготовленных индивидуально для каждого пациента. Система повторяет контуры зубной дуги и давит на те зубы, которые расположены аномально, перемещая их в необходимом направлении.

Сначала пациенту выдается капа, предполагающая небольшое давление. Через две недели ее нужно заменить на следующую, в которой на некоторые зубы может оказываться усиленное давление, на некоторые — более слабое.

Элайнеры СтарСмайл нужно носить 20-22 часа в сутки, снимая только во время еды или в случае крайней необходимости.

В зависимости от программы лечения, может использоваться комплект из 10, 20 и более кап.

Кому показано выравнивание зубов с помощью элайнеров StarSmile?

Элайнеры StarSmile можно устанавливать пациентам, у которых завершился активный рост челюсти. Обычно это происходит после 14 лет. Использование элайнеров StarSmile показано для исправления дефектов перекрестного прикуса, для устранения промежутков между зубами, помогают исправить скученность и наклоны зубов.

Как ухаживать за элайнерами StarSmile?

Капы не нуждаются в особом уходе — их необходимо снимать перед чисткой зубов и очищать с помощью зубной щетки и мыльного раствора. С капами нельзя есть, только пить напитки, не содержащие красителей. Например, в капе нельзя пить кофе, гранатовый сок, чай, вино.

Эксперт статьи, которую Вы читаете:
Нестеренко (Огай) Татьяна Алексеевна
Врач стоматолог – ортодонт, терапевт взрослый и детский • 16 лет опыта
Нестеренко (Огай) Татьяна Алексеевна, врач-стоматолог в клинике Евродент
На основании: 8 голосов
Оцените статью
Отзывы. Что о нас говорят?
Все отзывы
Sultan Sakhariyev
Sultan Sakhariyev
Июнь 10, 2025
5

I am using this dental clinic for more than 7 years now. The service is always great, prices are higher than average, yet I believe it is worth it! I recommend this clinic.

Читать подробнее Sultan Sakhariyev
Vladislav_00
Vladislav_00
Июнь 10, 2025
5

Хорошая стоматология, приходил на ежегодный осмотр. По телефону грамотно проконсультировали,далее уже придя на консультацию,врач все рассказал,составил план лечения. Само лечение безболезненно,врач работает уверенно,видно,что профессионал. Огромное спасибо так же администратору,которая встречает и провожает до врача,приятная девушка,светленькая. Мои зубы теперь в полном порядке. Огромное спасибо всему коллективу.

Читать подробнее Vladislav_00
Карина Якупова
Карина Якупова
Июнь 10, 2025
5

Огромное спасибо клинике за Константина Николаевича! Стоматолог от Бога! Честно говоря, после неудачного лечения Зубов в другой клинике, поймала страх и недоверие ко всем стоматологам. На этот раз мне очень повезло!!! Константин развеял все мои страхи, грамотно ответил на все вопросы, очень тщательно осматривал все мои зубы, дёсна, безболезненно и качественно сделал чистку Зубов, я в шоке,,.. каждый зубик не оставил без внимания, вылечил зуб на Ура! На протяжении многих лет не могла жевать левой стороной, а сейчас кайфую! Жую! Хотите сберечь зубы, идите к нему!!!! Берегите свои зубки!!! Всем добра!!!

Читать подробнее Карина Якупова
Камшат
Камшат
Июнь 10, 2025
5

Лечить зубы для меня проблема, страх меня не покидает с детства , поэтому потеряла несколько зубов , и жевать стало не очень то удобно . В конце концов попала в клинику Евродент к доктору ,с золотыми руками, Кошербаеву Ернару Даулетовичу и не пожалела !!!!! Очень внимательный , граммотный и профессионал своего дела!!!!

Читать подробнее Камшат
Наши врачи
Все врачи

Мы рады познакомить вас с нашей командой профессионалов.

Команда гарантирует качественное и безболезненное решение вашей проблемы. Укажите вашу локацию и система автоматически предложит наших врачей.

Портфолио работ
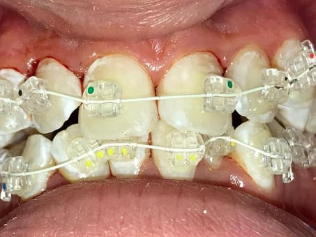
Коррекция прикуса с помощью брекетов
Коррекция прикуса с помощью брекетов
Корректировка прикуса брекетами
Корректировка прикуса брекетами
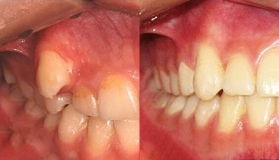
Выравнивание зубов с помощью брекетов
Выравнивание зубов с помощью брекетов
Исправление прикуса металлическими брекетами
Исправление прикуса металлическими брекетами
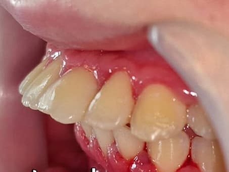
Исправление прикуса с помощью брекетов
Исправление прикуса с помощью брекетов
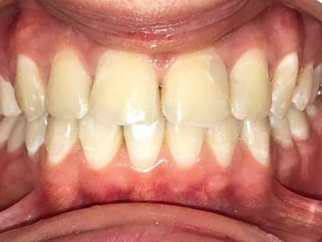
Восстановление прикуса брекетами
Восстановление прикуса брекетами
Восстановление улыбки брекетами
Восстановление улыбки брекетами
Установка брекетов для ровных зубов
Установка брекетов для ровных зубов
Выравнивание зубов металлическими брекетами
Выравнивание зубов металлическими брекетами
Коррекция прикуса без операции
Коррекция прикуса без операции
Корректировка прикуса для здоровой улыбки
Корректировка прикуса для здоровой улыбки
Установка металлических брекетов
Исправление прикуса при помощи металлических брекетов
Установка керамических вкладок